Research & Publications
Louisa Nicola's research focuses on Alzheimer's prevention, neuroimaging in women, and the intersection of exercise and cognitive health. Below are her published works and upcoming first-author papers.

Neuroimaging
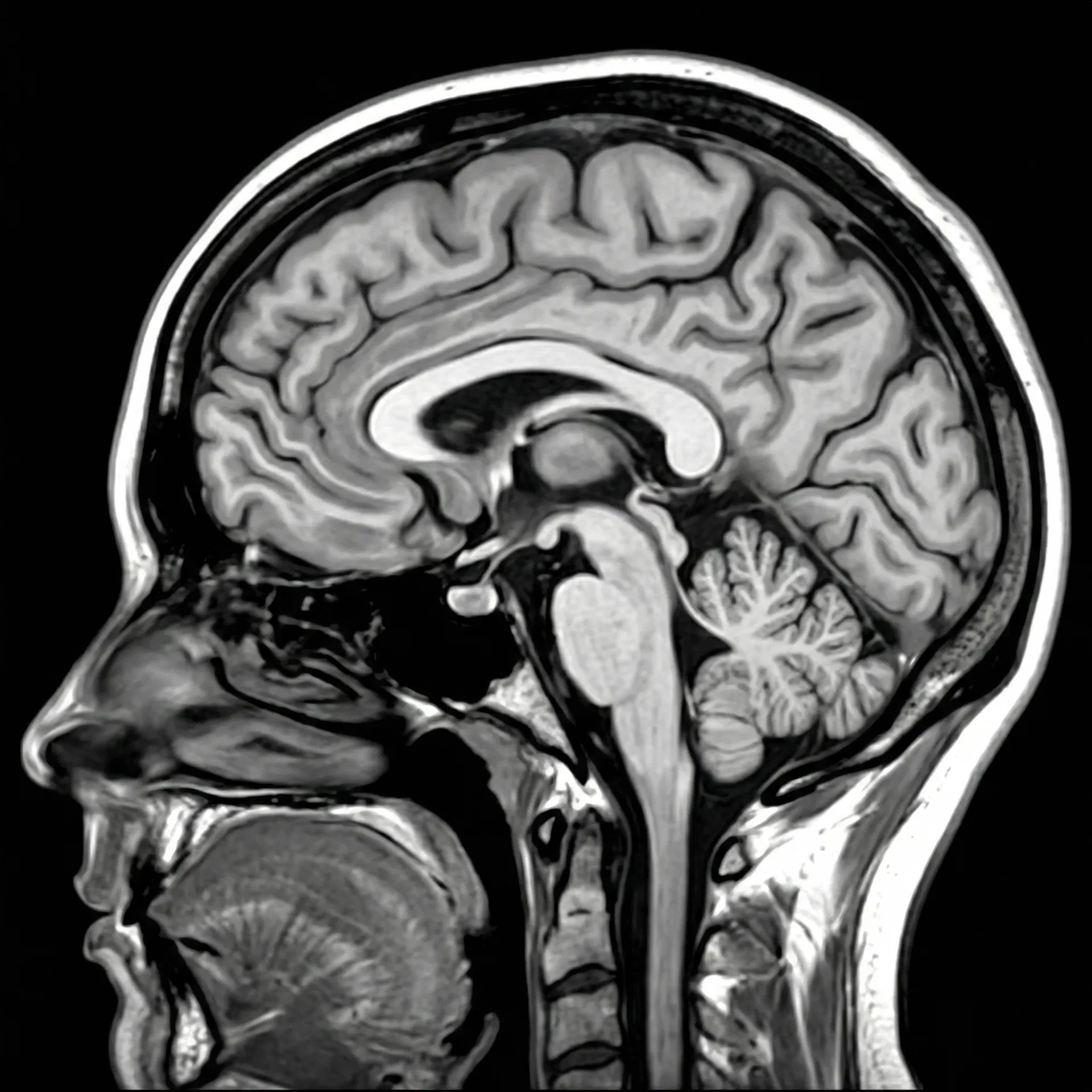
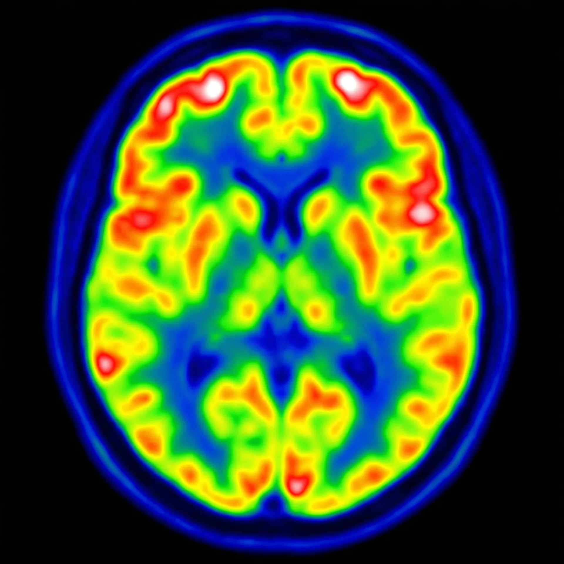
Structural MRI and PET scans of the female brain, revealing the neuroanatomical and metabolic patterns central to Alzheimer's research.

Structural MRI — Sagittal View
Female brain, T1-weighted imaging

FDG-PET — Axial View
Cerebral glucose metabolism mapping
Placeholder — your neurosurgery photos and additional brain scans will be added here.
Published Research
Research Pipeline
Six first-author papers currently in development. Titles and details will be updated as they progress through peer review.